クリア歯科では、被せ物(人工歯)の素材に、近年の歯科業界ではスタンダードになりつつあるフルジルコニアを採用しています。フルジルコニアは、人工ダイヤモンドと言われるほどの金属を上回る強度と耐久性を誇り、さらに変色しづらいといった人工歯に適した特徴を有した素材です。
さらに治療時には、5色の中から既存歯に近い色をお選びいただけるので、自然で美しい歯を実感していただけます。
全プラン標準で、
フルジルコニアの
人工歯を使用
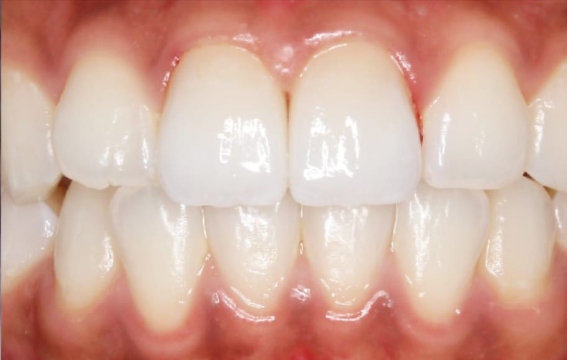
フルジルコニア素材の強く、美しい人工歯
高品質なフルジルコニア製を適正価格でご提供
一般的に高額と言われるフルジルコニア製の人工歯を、クリア歯科では価格を抑えた上で高品質な製品をご提供しております。それを可能にしているのが、クリア歯科の専属ラボである『メディカル歯科技工所』です。
自社ラボにて作製することで、無駄な時間やコストを削減でき、その分を価格に反映。もちろん品質面においても、国家資格を有した歯科技工士と充実の設備により、ご満足いただけるクオリティを実現しています。
自社ラボにて作製することで、無駄な時間やコストを削減でき、その分を価格に反映。もちろん品質面においても、国家資格を有した歯科技工士と充実の設備により、ご満足いただけるクオリティを実現しています。
クリア歯科専属ラボ メディカル歯科技工所
クリア歯科が価格を抑えながらも高品質な技工物を提供できるのは、専属ラボ『メディカル歯科技工所』による「人」「設備」「コミュニケーション」を活かした製品づくりの賜物です。
技工物作製に打ち込める環境でありながら、歯科医師や歯科衛生士と密に連携を取りつつ、時には診察にも立ち会うなど、患者様に向き合いながら、日々技工物作製に努めております。
技工物作製に打ち込める環境でありながら、歯科医師や歯科衛生士と密に連携を取りつつ、時には診察にも立ち会うなど、患者様に向き合いながら、日々技工物作製に努めております。
クリア歯科のドクターを支える歯科技工士が10名所属。ブレーンベース社の公認歯科技工士も在籍しています。
オーラルスキャナーやCAD /CAM、3Dプリンターなど、充実の設備やデータ通信により、スピーディに作製可能。インプラント人工歯は、年間約2,000本作製しています。
歯科医師や歯科衛生士と密な連携を取り、ケースにより診察にも同席するなど、患者様に寄り添う作製環境を整えています。
最短で来院2回で最終の詰め物を入れることができます。
厳選のインプラントメーカー
インプラントメーカーは世界中に数多く存在し、安価なものから高価なものまで、グレードはさまざまです。
クリア歯科では、世界トップシェアのメーカーや純国産メーカーなど、100を超えるメーカーの中から歯科医院として客観的に評価・信頼でき、実績として口腔内での安定性が高いものを厳選して使用しています。
クリア歯科では、世界トップシェアのメーカーや純国産メーカーなど、100を超えるメーカーの中から歯科医院として客観的に評価・信頼でき、実績として口腔内での安定性が高いものを厳選して使用しています。
ストローマン社
インプラントにおける世界トップシェアを誇る、スイスのインプラント研究開発メーカーです。革新的な技術力で、多くの患者様と歯科医師の信頼を得ています。
straumann® Pure(ピュア)
世界トップシェアを誇るストローマン製の100%フルジルコニア製のインプラント。金属アレルギーの患者様でも使用可能で、耐久性・審美性共に優れています。
※厚労省の認可が下りていない製品のため(2022年12月時点)、保証対象外となっております。
※厚労省の認可が下りていない製品のため(2022年12月時点)、保証対象外となっております。
ノーベルバイオケア社
近代インプラントの父・ブローネマルク教授が発見した「骨に結合する歯科インプラント」を世界で初めて製品展開した、近代インプラントシステムのパイオニアです。
ブレーンベース社
純国産メーカーであり、日本人の顎の骨に適したインプラントが特徴。国産インプラントで唯一、FDA(アメリカ食品医薬品局)の認可を受けた製品を使用しています。
取り扱いジルコニアについて
クリア歯科が人工歯に採用しているジルコニアは、人工ダイヤモンドと言われるほどの強度と耐久性を誇り、近年歯科業界で一番注目を集めている素材です。
強度以外にもオールセラミックと同じように変色が少ないなどの特性を持つ、最高級クラウンです。
強度以外にもオールセラミックと同じように変色が少ないなどの特性を持つ、最高級クラウンです。
フルジルコニア (クリア歯科で採用)
内側から外側まですべてジルコニア素材を使用しています。金属を使わないため、金属アレルギーの方にも最適で、チタン並みに人体との親和性があります。5色から選ぶことができ、ご自身の歯に近い色のものを用いて、人工歯を作製いたします。
ジルコニアボンド
技工物の表面に透明感のあるセラミックを焼き付けたもので、フルジルコニアと異なり、色を自由に調整できるのが特徴です。自然な透明感を出すことができるため、強度に加えて審美性を求める患者様に適した、最高級の素材です。
マルチレイヤージルコニア
色の異なる層を重ねたマルチレイヤ―ジルコニアは、天然歯に近い色調のグラデーションが特徴です。従来のジルコニアと違い、色に深みが出るため、より本物に近くなります。特に審美性が求められる前歯などにおすすめの素材です。
オールセラミック
すべてセラミックから形成される素材の総称です。光を透過するため、まるで天然歯のような透明感があり、年月が経っても変色の少ない素材です。ジルコニアと比べると強度は多少劣りますが、審美性に優れた素材です。
ハイブリッド
セラミックとプラスチックの成分が混ぜ合わされた素材です。セラミックの硬さとプラスチックの粘りを兼ね備えていますが、年数と共に変色・変形してしまうデメリットもあります。
被せ物のメリット&デメリット
|
クリア歯科で採用
フルジルコニア
|
ジルコニア
ボンド |
マルチレイヤー
ジルコニア |
オール
セラミック |
ハイブリッド
|
|
| 硬さ | |||||
| 曲げ強度 | |||||
| 色調 | |||||
| 変色 | |||||
| 価格 |
少し高め |
高額 |
高め |
高め |
安め |
審美オプション
ジルコニアボンド
人工歯と気づかれないよう、被せ物の審美性を追求
フルジルコニアの表面にセラミックを焼き付けたものです。フルジルコニアと異なり、色を自由に調整できるため、人工歯を埋入する周辺の既存歯と違和感のない色を再現できます。
また、セラミックには透明感があり、不自然さがありません。人目に付きやすい前歯など、審美性が求められる歯におすすめです(前歯2本ジルコニアボンド)。
また、セラミックには透明感があり、不自然さがありません。人目に付きやすい前歯など、審美性が求められる歯におすすめです(前歯2本ジルコニアボンド)。
ジルコニア アバットメント
接続部にも審美性の高いジルコニアを使用
従来の金属を使用したインプラントの土台(アバットメント/接続部)では、その上にセラミックなどの白い人工歯を装着した際に、中から金属が透けてしまったり、歯茎から金属の色が見えてしまったりすることが稀にあります。
一方で土台部分に白いジルコニアを使用すると、将来的に歯茎が下がってしまった際、金属が透けて見えることを防げます。また、生体親和性が高いジルコニアを接続部に用いることには治療面でさまざまなメリットがあり、おすすめのオプションとなっています。
一方で土台部分に白いジルコニアを使用すると、将来的に歯茎が下がってしまった際、金属が透けて見えることを防げます。また、生体親和性が高いジルコニアを接続部に用いることには治療面でさまざまなメリットがあり、おすすめのオプションとなっています。


